



We focus on quality, comfort, and care designed around your needs.
From Invisalign and preventive care to cosmetic and restorative treatments, everything your smile needs is available in one place.
Our office uses modern tools and digital systems to ensure accurate, comfortable, and efficient treatment.
We take time to understand your goals and create treatment plans that fit your lifestyle and comfort level.
Dental implants are a long-lasting solution for missing teeth, using biocompatible posts that act as artificial roots to support natural-looking crowns. They help restore chewing function, preserve jawbone health, and give you a strong, beautiful smile you can rely on every day.
General dentistry covers comprehensive oral care including checkups, cleanings, fillings, and preventive treatments to keep your teeth and gums healthy. Regular visits help catch issues early, maintain a healthy smile, and support your overall well-being for a lifetime of good dental health.
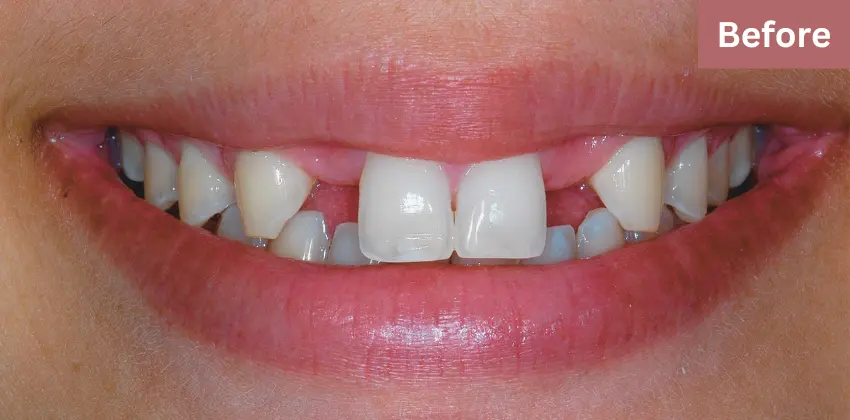
Cosmetic dentistry focuses on enhancing the look of your smile with treatments like teeth whitening, veneers, and clear aligners that improve color, shape, and alignment for a more confident appearance. These personalized smile-focused treatments help you look your best while maintaining healthy oral function.
Dr. Bhawna Gupta is known for her gentle approach and patient focused care. She believes dentistry should feel comfortable, informed, and empowering.
With extensive experience in Invisalign and general dentistry, Dr. Gupta creates customized treatment plans that support long term oral health while fitting naturally into each patient’s lifestyle.
At Wow Dental, our modern dental office is designed to care for patients of all ages, from children to adults and seniors.
Led by Dr. Bhawna Gupta, our team focuses on comfort, clarity, and personalized care to help every patient feel relaxed and confident in their treatment.
Most smiles need care and maintenance over time. At LB Dental, we use advanced technology and precise techniques to support long lasting dental health. Whether you are considering Invisalign, routine dental care, or cosmetic improvements, our goal is to deliver results that feel natural and dependable.
Trusted by patients who value comfort, transparency, and consistent care.



LB Dental Has Rebranded And Is Now Proudly Known As Wow Dental
Monday 9 am–7 pm
Tuesday 9 am–7 pm
Wednesday 9 am–7 pm
Thursday 9 am–7 pm
Friday 9 am–7 pm
Saturday 9 am–7 pm
Sunday Closed
Have a question about your dental care or want to schedule an appointment?
Copyright 2026 WOW DENTAL. All right reserved. Terms and Conditions | Privacy Policy